Điều trị u tuyến giáp lành tính hiệu quả
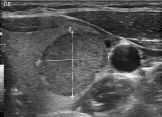
U tuyến giáp lành tính thường phổ biến ở nữ giới, khiến người mắc cảm thấy khó chịu hoặc thậm chí khó thở hay nuốt nghẹn. Để hiểu rõ hơn về quá trình điều trị u tuyến giáp lành tính hiệu quả, cùng MỔ TUYẾN GIÁP theo dõi bài viết...